JANGAN PAKSA AKU MAMA

29 June 2018
JANGAN PAKSA AKU MAMA

Di suatu sore, saya mendapat telepon dari seorang ibu yang minta bantuan untuk merawat gigi anaknya.  Sebut saja nama anak ini Bunga ( nama samaran ). Bunga berumur 14 tahun...

SAKIT JANTUNGKU KARENA HAL YANG SEPELE

01 July 2018
SAKIT JANTUNGKU KARENA HAL YANG SEPELE

Kisah berikut ini adalah pengalaman pribadi seorang pasien saya, laki-laki , yang masih muda usianya, 20 tahun. Sebut saja namanya Joni ( nama samaran ).  Di usianya yang masih belia...

ANAKKU LAHIR PREMATUR GARA-GARA GIGIKU BERLUBANG

10 July 2018
ANAKKU LAHIR PREMATUR GARA-GARA GIGIKU BERLUBANG

Cerita di bawah ini adalah kisah sebenarnya dari salah seorang pasien saya. Demi kenyamanan, nama-nama tokoh di cerita ini disamarkan. Namaku Ani. Aku adalah seorang ibu muda yang baru saja...

Sepuluh Kebiasaan Buruk Yang Merusak Gigi Dan Mulut

09 October 2018
Sepuluh Kebiasaan Buruk Yang Merusak Gigi Dan Mulut

Banyak orang yang menganggap sepele kesehatan gigi dan mulut, padahal bila terlanjur sakit gigi, rasanya lebih menyakitkan daripada sakit hati. Aktivitas terganggu, sulit makan, bisa demam , sakit kepala, tidak...

Mengatasi Rasa Takut Ke Dokter Gigi

25 December 2018
Mengatasi Rasa Takut Ke Dokter Gigi

Banyak dari kita yang takut berobat ke dokter gigi, apalagi anak-anak. Seakan-akan dokter gigi dan alat-alatnya itu bagaikan monster yang akan menyakiti kita. Mendengar suara bur, takut disuntik, takut sakit,...

Kesehatan Gigi

SAKIT JANTUNGKU KARENA HAL YANG SEPELE

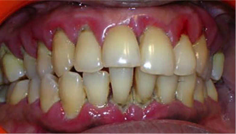
Kok bisa umur masih muda sakit jantung? Apa penyebabnya? Penyebabnya ternyata dari karang gigi yang menumpuk di mulut Joni. Karang gigi, sesuatu yang dianggap sepele oleh sebagian besar masyarakat. Bagaimana bisa karang gigi menjadi faktor penyebab sakit jantung?

Menurut penelitian terbaru yang tercantum pada jurnal internasional kedokteran gigi bulan September 2012 , disebutkan ada hubungan antara peradangan jaringan pendukung gigi (periodontitis) dengan penyakit jantung. Hal ini dibuktikan melalui penelitian pada pasien yang menderita periodontitis,ternyata juga memiliki mediator radang yang ada pada penyakit jantung.

Penelitian lainnya, yang disampaikan pada Forum Ilmiah Periodontist Eropa di Austria bulan Juni 2012 lalu, menyimpulkan bahwa bakteri Porphyromonas gingivalis yang terdapat pada kondisi periodontitis dapat merangsang produksi sitokin. Sitokin  berperan dalam terjadinya periodontitis, namun juga menimbulkan penyumbatan pembuluh darah yang berpengaruh ke jantung.

Jurnal lain menyebutkan,  pasien dengan gigi berlubang, penyakit gusi, penyakit jaringan pendukung gigi, serta memiliki sisa akar yang belum dicabut, dapat menyebabkan peningkatan resiko terjadinya penyakit jantung.

Bagaimana penyakit gigi dan gusi dapat menyebabkan penyakit jantung dan stroke ? Mekanismenya adalah : ketika gusi mengalami suatu peradangan, maka bakteri gram negatif mengeluarkan endotoksin (Lipopolisakarida). Endotoksin  akan melewati sirkulasi darah selama kita melakukan aktivitas normal pada rongga mulut, seperti mengunyah, sikat gigi, dll.

Hal ini dapat mempercepat timbulnya efek negatif pada jantung dan pembuluh darah. Selanjutnya bakteri tersebut akan menimbulkan agregasi platelet, yang berkontribusi terhadap pembentukan thrombus dan thromboembolism yang merupakan penyebab utama stroke.

Catatan penting :penyakit jantung dapat menyerang siapa saja, tanpa mempedulikan jenis kelamin dan usia.  Bagaimana cara mencegah terjadinya penyakit jantung? Selain menjaga pola makan, rajin berolahraga dan tidak merokok, faktor penting lainnya adalah rutin membersihkan karang gigi ke dokter gigi setiap 6 bulan 1 kali.

Karang gigi  adalah plak gigi yang menumpuk dalam waktu lama dan mengeras. Plak gigi sendiri adalah sisa-sisa makanan yang menempel pada gigi. Seringkali sisa-sisa makanan pada gigi tidak bisa terangkat hanya dengan menyikat gigi. Lama-kelamaan sisa-sisa makanan ini akan mengeras dan terbentuklah karang gigi. Karang gigi yang mengandung bakteri ini akan menekan gusi sehingga permukaan gusi akan turun, gusi menjadi bengkak dan mengalami peradangan, bila tersentuh gusi akan mudah berdarah.

Peradangan jaringan gusi ini berlanjut ke jaringan penyangga gigi (periodontal), sehingga akar gigi akan terlihat dan gigi menjadi goyang. Terbentuklah kantung (pocket) antara gusi dan jaringan periodontal dengan gigi. Lewat celah inilah bakteri dan kuman akan masuk dan bersama aliran darah masuk ke organ-organ tubuh seperti jantung, paru-paru, otak, dll dan menyebabkan penyakit. Pada rongga mulut sendiri, karang gigi ini akan menimbulkan bau mulut yang tidak sedap, gusi mudah berdarah, gigi-gigi menjadi goyang.

Joni yang telah menjalani operasi jantung kini sadar dan benar-benar memperhatikan kesehatan gigi dan mulutnya. Belum ada kata terlambat, daripada menyesal seumur hidup…..

(picture source : hindustantimes )